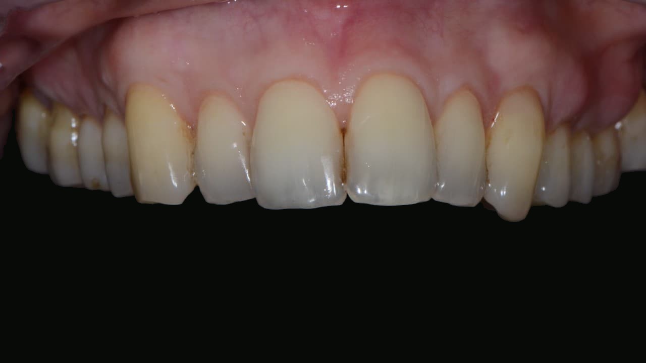
Gingival recession
Recesja dziąsła to cofnięcie się brzegu dziąsłowego, które odsłania szyjkę lub korzeń zęba. Powoduje nadwrażliwość, pogorszenie estetyki i zwiększone ryzyko próchnicy korzeniowej.
Najczęstsze przyczyny to nieprawidłowa technika szczotkowania, cienki biotyp dziąsła, zapalenie przyzębia, nieprawidłowe ustawienie zębów w łuku oraz nawykowe zaciskanie i zgrzytanie zębami (bruksizm).
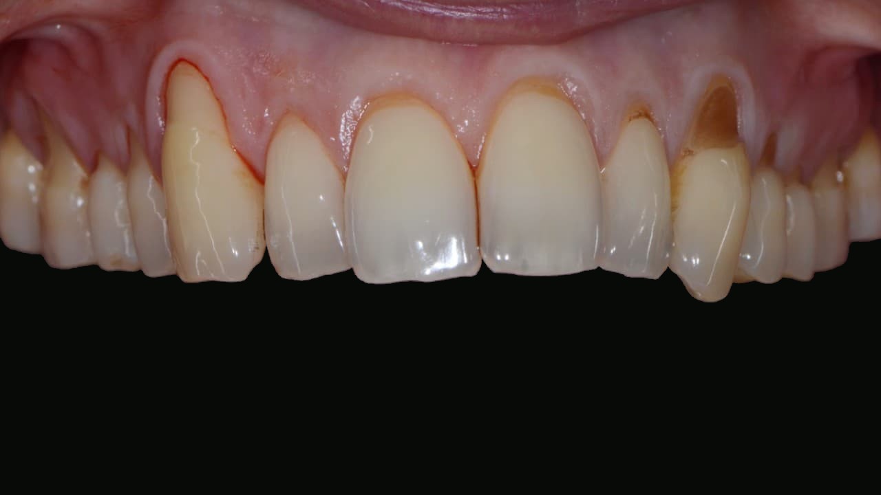
Złotym standardem leczenia recesji jest przeszczep tkanki łącznej pobieranej z podniebienia. Techniki tunelowe i kopertowe pozwalają na minimalizację urazowości i osiągnięcie optymalnego pokrycia odsłoniętych korzeni.
Nowoczesne techniki mikrochirurgiczne pozwalają na pokrycie odsłoniętych korzeni w 80–100% przypadków. Przywrócenie prawidłowej linii dziąsła eliminuje nadwrażliwość, poprawia estetykę i chroni zęby przed dalszą destrukcją.
Efekty leczenia
Przesuń suwak, aby porównać stan przed i po zabiegu.


Lokalizacje
Na konsultacje zgłaszają się do mnie pacjenci z całego regionu Podhala, w tym z miejscowości takich jak Rabka-Zdrój, Nowy Targ, Jordanów, Poronin, Zakopane.
Pierwszy krok
Zdrowe dziąsła to fundament zdrowego organizmu. Umów się na konsultację i zadbaj o swoje przyzębie.