Crown lengthening
Wydłużenie korony klinicznej to precyzyjny zabieg chirurgiczny polegający na usunięciu nadmiaru dziąsła i/lub kości, aby odsłonić większą powierzchnię zęba. Stosowany zarówno ze wskazań estetycznych, jak i protetycznych.
Tak zwany „uśmiech dziąsłowy” (gummy smile) — nadmierne odsłanianie dziąsła podczas uśmiechu. Chirurgiczne modelowanie linii dziąsła przywraca proporcjonalną, harmonijną estetykę uśmiechu.
Zbyt krótka korona kliniczna zęba uniemożliwia prawidłowe wykonanie korony protetycznej. Wydłużenie korony zapewnia wystarczającą retencję i właściwy kontur biologiczny odbudowy.
Zabieg wykonywany jest w znieczuleniu miejscowym. Precyzyjne usunięcie nadmiaru tkanek miękkich i kostnych pozwala na odsłonięcie odpowiedniej powierzchni zęba z zachowaniem szerokości biologicznej przyzębia.
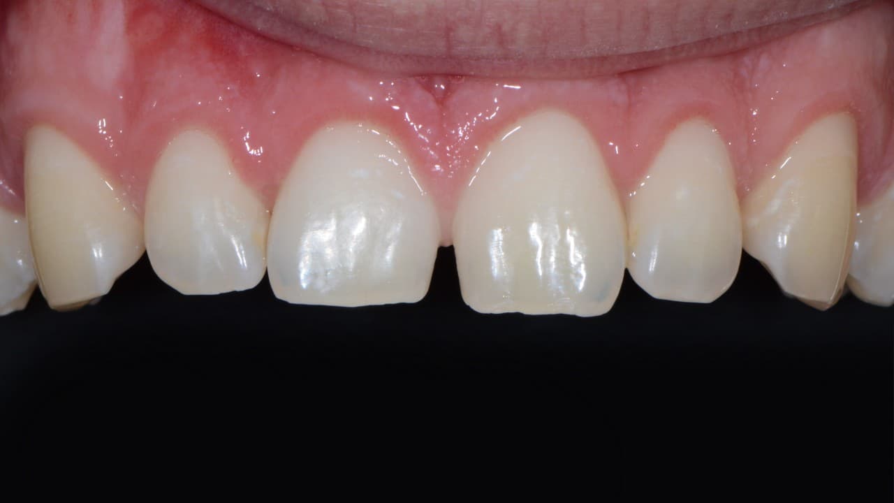
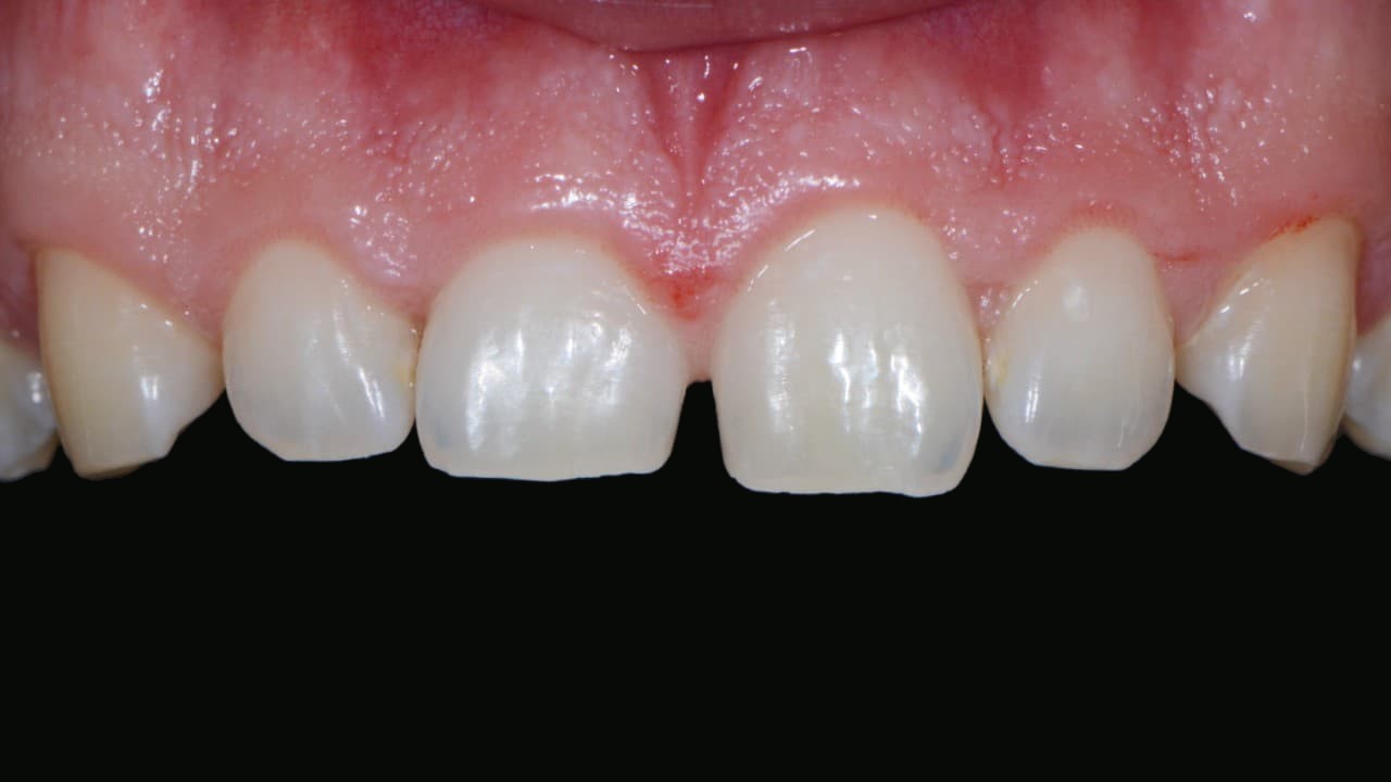
Efekty leczenia
Przesuń suwak, aby porównać stan przed i po zabiegu.


Lokalizacje
Na konsultacje zgłaszają się do mnie pacjenci z całego regionu Podhala, w tym z miejscowości takich jak Rabka-Zdrój, Nowy Targ, Jordanów, Poronin, Zakopane.
Pierwszy krok
Zdrowe dziąsła to fundament zdrowego organizmu. Umów się na konsultację i zadbaj o swoje przyzębie.